L'occlusion dentaire
L’occlusion dentaire est la manière dont vos arcades dentaires se rencontrent lorsque vous fermez la bouche.
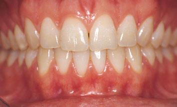
Occlusion normale
Avoir une bonne occlusion représente un élément capital pour votre santé. Mais, dans certains cas, les contacts inter-arcades ne sont pas corrects, par exemple si de mauvaises habitudes déplacent les dents, ou si des dents extraites n’ont pas été remplacées et que les dents restantes ne sont plus en équilibre. Des traitements dentaires, orthodontiques ou prothétiques, peuvent y remédier.
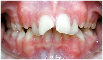
Occlusion perturbée
Si les formes ou la place des dents ne leur permettent plus de s’emboîter convenablement lors de la fermeture buccale, la mandibule se décale alors pour obtenir une position de confort inadéquate.
Cette position d’adaptation de la mandibule peut aboutir à des crispations des muscles des mâchoires ou à des troubles de dans l’articulation de la mandibule. Les mouvements de mâchoire sont alors contrariés ou douloureux.
La situation est aggravée si le patient serre beaucoup les dents comme c’est le cas dans les situations de stress.
Les difficultés musculaires peuvent alors se transformer en véritables blocages et les douleurs de la région articulaire irradiée tout le côté de la tête, le cou ou les épaules. L’ensemble de la posture du corps peut être affectée par un déséquilibre mandibulaire important et prolongé. On parle alors de troubles musculo-squelettiques.
L’examen est délicat et le diagnostic souvent difficile. Le traitement va consister à évaluer cette occlusion dentaire et, en général, à donner des conseils comportementaux, à prescrire et fabriquer des orthèses orales, à pratiquer une équilibration occlusale.